Wichtiger Sicherheitshinweis: Pathorama wurde zwischen dem 26. und 27. Dezember 2025 angegriffen. Falls Sie die Website in diesem Zeitraum besucht haben, lesen Sie bitte die wichtigen Informationen hier:
Zur Information

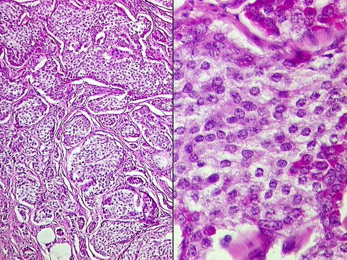
PathoPic – image database / PathoPic ID 326 - Niedrig maligner neuroendokriner Tumor

de
Diagnose
Niedrig maligner neuroendokriner Tumor
Diagnose Gruppe
maligner Tumor
Topographie
Appendix vermiformis
Topographie Gruppe
Darm, Anus
Beschreibung
Insuläres Wachstumsmuster. Uniforme runde oder polygonale Zellen mit monotonen runden zentralen Kernen mit feinem Chromatin.
Zusatzbefund
Lymphangiosis carcinomatosa.
Klinik
Beginnende Appendizitis.
Kommentar
Der neuroendokrine Tumor ist der häufigste epitheliale Appendixtumor des Kindesalters. Er kann schon im Kleinkindesalter vorkommen. Mädchen stellen 62-90% der Patienten. Die Prognose ist sehr gut. Wegen des offenbar aggressiveren Wachstums im Kindesalter gibt es Autoren, die für eine grosszügige Indikation zur Hemikolektomie plädieren.
Aus: Remmele, Band 2, S.524.
Bilder Typ
Histologie
Alter
19
Geschlecht
unbekannt
Datum
Ersteintrag: 12.07.2002