Wichtiger Sicherheitshinweis: Pathorama wurde zwischen dem 26. und 27. Dezember 2025 angegriffen. Falls Sie die Website in diesem Zeitraum besucht haben, lesen Sie bitte die wichtigen Informationen hier:
Zur Information

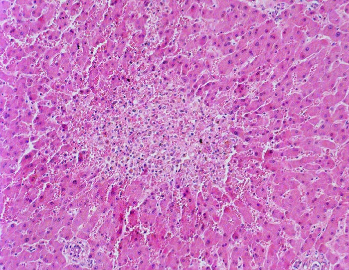
PathoPic – image database / PathoPic ID 3249 - Zonale perizentrale Parenchymnekrose bei Schock

de
Diagnose
Zonale perizentrale Parenchymnekrose bei Schock
Diagnose Gruppe
vaskulär / Durchblutungsstörung
Topographie
Leber
Topographie Gruppe
Leber, Gallenwege, Pankreas
Beschreibung
Im Bildzentrum die Zone 3. Ein Zentralvenenlumen ist nicht erkennbar. Anstelle von regelrecht aufgebautem Parenchym ist eine blutdurchtränkte Zone mit Entzündungszellen anstelle von Hepatozyten getreten. Die Sinusoide der Zone 2 zeigen eine Blutstase.
Klinik
Schweres akutes Rechtsherzversagen bei multiplen zentralen und perizentralen Lungenembolien.
Bilder Typ
Histologie
Vergrösserung
100
Alter
74
Geschlecht
unbekannt
Datum
Ersteintrag: 22.03.2002