Wichtiger Sicherheitshinweis: Pathorama wurde zwischen dem 26. und 27. Dezember 2025 angegriffen. Falls Sie die Website in diesem Zeitraum besucht haben, lesen Sie bitte die wichtigen Informationen hier:
Zur Information

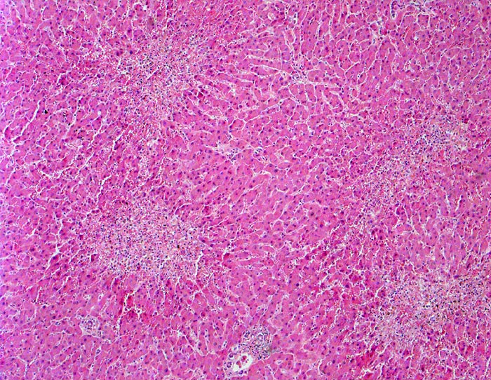
PathoPic – image database / PathoPic ID 3248 - Zonale perizentrale Parenchymnekrosen bei Schock

de
Diagnose
Zonale perizentrale Parenchymnekrosen bei Schock
Diagnose Gruppe
vaskulär / Durchblutungsstörung
Topographie
Leber
Topographie Gruppe
Leber, Gallenwege, Pankreas
Beschreibung
In der Übersicht erkennt man, dass das Parenchym rund um die Portalfelder in den Zonen 1 und 2 vital und weitgehend unauffällig ist. Um die Zentralvenen sternförmige frische zonale Nekrosen. An einer Stelle schmale zentrozentrale Nekrosebrücke.
Klinik
Schweres akutes Rechtsherzversagen bei multiplen zentralen und perizentralen Lungenembolien.
Bilder Typ
Histologie
Vergrösserung
50
Alter
74
Geschlecht
unbekannt
Datum
Ersteintrag: 22.03.2002