Wichtiger Sicherheitshinweis: Pathorama wurde zwischen dem 26. und 27. Dezember 2025 angegriffen. Falls Sie die Website in diesem Zeitraum besucht haben, lesen Sie bitte die wichtigen Informationen hier:
Zur Information

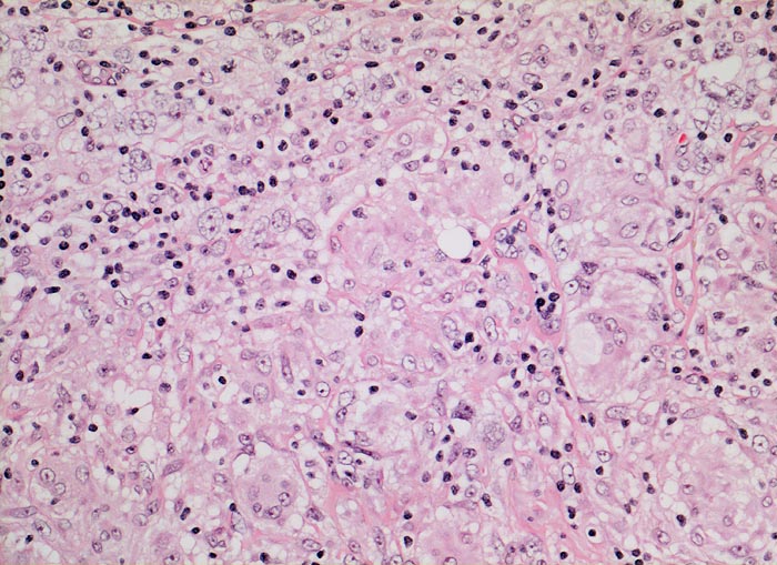
PathoPic – image database / PathoPic ID 3072 - Seminommetastase mit epitheloidzelliger Entzündungsreaktion

de
Diagnose
Seminommetastase mit epitheloidzelliger Entzündungsreaktion
Diagnose Gruppe
maligner Tumor
Topographie
Lymphknoten, Kopf-cervikal
Topographie Gruppe
Lymphatische Gewebe, KM, Milz
Beschreibung
Zwischen Epitheloidzellen, mehrkernigen Riesenzellen und Lymphozyten sind die Tumorzellen anhand ihrer Grösse und der prominenten Nukleolen erkennbar.
Zusatzbefund
Die Tumorzellen sind PAS positiv und färben sich mit dem PLAP Antikörper an.
Klinik
Rasch wachsender Lymphknoten zervikal. Hodentumor.
Kommentar
Granulomatöse Entzündungsreaktionen finden sich vor allem bei Seminomen aber auch bei nicht seminomatösen Keimzelltumoren. Der Tumor kann durch die Entzündung vollständig maskiert werden. Die granulomatöse Reaktion betrifft unter Umständen auch die Lymphabflussgebiete des Tumors und kann eine Sarkoidose vortäuschen.
Bilder Typ
Histologie
Vergrösserung
200
Alter
42
Geschlecht
männlich
Datum
Ersteintrag: 21.03.2002