Wichtiger Sicherheitshinweis: Pathorama wurde zwischen dem 26. und 27. Dezember 2025 angegriffen. Falls Sie die Website in diesem Zeitraum besucht haben, lesen Sie bitte die wichtigen Informationen hier:
Zur Information

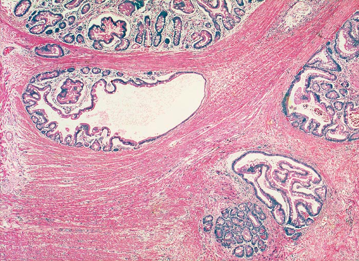
PathoPic – image database / PathoPic ID 3056 - Peutz Jegher Polyp mit Pseudoinvasion

de
Diagnose
Peutz Jegher Polyp mit Pseudoinvasion
Diagnose Gruppe
benigner Tumor
Topographie
Jejunum
Topographie Gruppe
Darm, Anus
Beschreibung
Benigne, in die Muscularis propria verlagerte Drüsenschläuche an der Polypenbasis imitieren ein invasives Karzinom. Die fehlenden Epithelatypien und der normale Epithelaufbau mit begleitender Lamina propria ermöglichen die Unterscheidung von einem Karzinom.
Zusatzbefund
Breitbasiger Polyp von 3cm Durchmesser.
Klinik
Eisenmangelanämie und wiederholte Abdominalschmerzen infolge von Intussusception.
Kommentar
Epithelverlagerungen in die Submukosa und Muscularis propria kommen nur in Dünndarmpolypen vor.
Bilder Typ
Histologie
Vergrösserung
25
Alter
7
Geschlecht
unbekannt
Datum
Ersteintrag: 21.03.2002