Wichtiger Sicherheitshinweis: Pathorama wurde zwischen dem 26. und 27. Dezember 2025 angegriffen. Falls Sie die Website in diesem Zeitraum besucht haben, lesen Sie bitte die wichtigen Informationen hier:
Zur Information

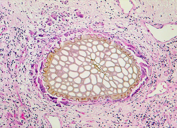
PathoPic – image database / PathoPic ID 3028 - Nahrungsmittelgranulom

de
Diagnose
Nahrungsmittelgranulom
Diagnose Gruppe
Artefakt / Fremdkörper / Pigment
Topographie
Oesophagus
Topographie Gruppe
Oesophagus, Magen
Beschreibung
Chronische Entzündung und Ödem der Submukosa. Im Bildzentrum ein pflanzlicher Fremdkörper, welcher von zahlreichen Fremdkörperriesenzellen umlagert wird.
Zusatzbefund
Chronisches Ulkus nach Strahlentherapie eines Ösophaguskarzinoms.
Klinik
Oesophagus-Karzinom mittleres Drittel, neoadjuvant vorbehandelt.
Bilder Typ
Histologie
Alter
67
Geschlecht
männlich
Datum
Ersteintrag: 20.03.2002