Wichtiger Sicherheitshinweis: Pathorama wurde zwischen dem 26. und 27. Dezember 2025 angegriffen. Falls Sie die Website in diesem Zeitraum besucht haben, lesen Sie bitte die wichtigen Informationen hier:
Zur Information

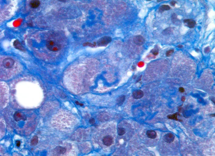
PathoPic – image database / PathoPic ID 3021 - Mallory-Denk Körper bei alkoholischer Steatohepatitis

de
Diagnose
Mallory-Denk Körper bei alkoholischer Steatohepatitis
Diagnose Gruppe
Therapiefolgen
Topographie
Leber
Topographie Gruppe
Leber, Gallenwege, Pankreas
Beschreibung
Vereinzelte Hepatozyten enthalten eine grosse Lipidvakuole. Andere enthalten im Zytoplasma blaue amorphe, teils plumpe, teils wurmförmige Mallory-Denk Körper.
Kommentar
Mallory Körper treten bei verschiedenen Lebererkrankungen auf: Alkoholische und nicht alkoholische Steatohepatitis, Morbus Wilson, intestinaler Bypass, Abetalipoproteinämie, schwere chronische Cholestase.
Bilder Typ
Histologie
Vergrösserung
630
Geschlecht
weiblich
Datum
Ersteintrag: 20.03.2002
Update: 06.02.2009