Wichtiger Sicherheitshinweis: Pathorama wurde zwischen dem 26. und 27. Dezember 2025 angegriffen. Falls Sie die Website in diesem Zeitraum besucht haben, lesen Sie bitte die wichtigen Informationen hier:
Zur Information

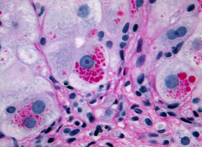
PathoPic – image database / PathoPic ID 3020 - alpha-1-Antitrypsinmangel

de
Diagnose
alpha-1-Antitrypsinmangel
Diagnose Gruppe
angeboren /genetisch/Missbildung
Topographie
Leber
Topographie Gruppe
Leber, Gallenwege, Pankreas
Beschreibung
Nach Diastase Vorbehandlung enthalten die periportalen Hepatozyten zahlreiche kugelige rote zytoplasmatische Einschlüsse, welche immunhistochemisch alpha-1-Antitrypsin entsprechen.
Bilder Typ
Histologie
Vergrösserung
630
Geschlecht
weiblich
Datum
Ersteintrag: 20.03.2002