Wichtiger Sicherheitshinweis: Pathorama wurde zwischen dem 26. und 27. Dezember 2025 angegriffen. Falls Sie die Website in diesem Zeitraum besucht haben, lesen Sie bitte die wichtigen Informationen hier:
Zur Information

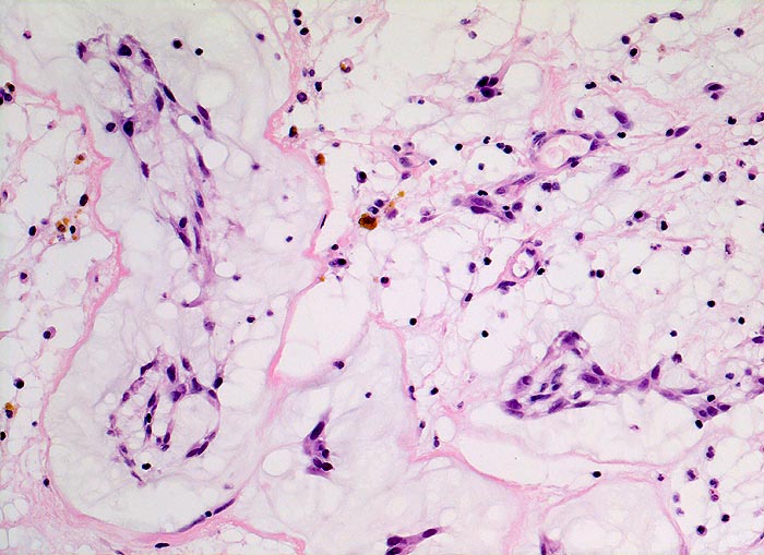
PathoPic – image database / PathoPic ID 3007 - Vorhofmyxom

de
Diagnose
Vorhofmyxom
Diagnose Gruppe
benigner Tumor
Topographie
Herz Vorhof
Topographie Gruppe
Kardiovaskuläres System
Beschreibung
Stark aufgelockertes myxoides Stroma mit Entzündungszellen und Siderophagen. Im Stroma liegen Nester von spindelförmigen Tumorzellen, die bevorzugt rund um Blutgefässe angeordnet sind.
Bilder Typ
Histologie
Vergrösserung
200
Alter
19
Geschlecht
unbekannt
Datum
Ersteintrag: 23.12.2002