Wichtiger Sicherheitshinweis: Pathorama wurde zwischen dem 26. und 27. Dezember 2025 angegriffen. Falls Sie die Website in diesem Zeitraum besucht haben, lesen Sie bitte die wichtigen Informationen hier:
Zur Information

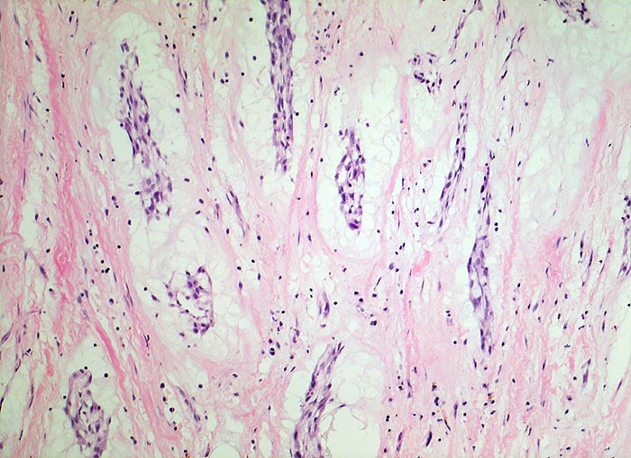
PathoPic – image database / PathoPic ID 3006 - Vorhofmyxom

de
Diagnose
Vorhofmyxom
Diagnose Gruppe
benigner Tumor
Topographie
Herz Vorhof
Topographie Gruppe
Kardiovaskuläres System
Beschreibung
Stark aufgelockertes teils fibröses, teils myxoides Stroma mit Entzündungszellen und vereinzelten Siderophagen. Darin liegen Nester von spindelförmigen Tumorzellen, die bevorzugt um Gefässe lokalisiert sind.
Bilder Typ
Histologie
Vergrösserung
100
Alter
19
Geschlecht
unbekannt
Datum
Ersteintrag: 23.12.2002