Wichtiger Sicherheitshinweis:
Pathorama wurde zwischen dem
26. und 27. Dezember 2025
angegriffen. Falls Sie die Website in diesem Zeitraum besucht haben, lesen Sie bitte die wichtigen Informationen hier:
Zur Information
Pathopic
HiPaKu
ZyPaKu
Projektinfos
PathoPic - Projekt- und Copyright-Info
About
Pathopic
HiPaKu
ZyPaKu
PathoPic – image database
/
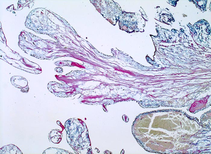
PathoPic ID 3004 - Vorhofmyxom
de
Diagnose
Vorhofmyxom
Diagnose Gruppe
benigner Tumor
Topographie
Herz Vorhof
Topographie Gruppe
Kardiovaskuläres System
Beschreibung
Papillär gebauter Tumor mit ödematösem myxoidem Stroma. Fokale Stromablutungen.
Bilder Typ
Histologie
Vergrösserung
25
Alter
19
Geschlecht
unbekannt
Datum
Ersteintrag: 20.03.2002
CPS
·
©
2025 Institut für Pathologie Basel
/
Dr. med. Katharina Glatz-Krieger
.
·
v2.2