Wichtiger Sicherheitshinweis: Pathorama wurde zwischen dem 26. und 27. Dezember 2025 angegriffen. Falls Sie die Website in diesem Zeitraum besucht haben, lesen Sie bitte die wichtigen Informationen hier:
Zur Information

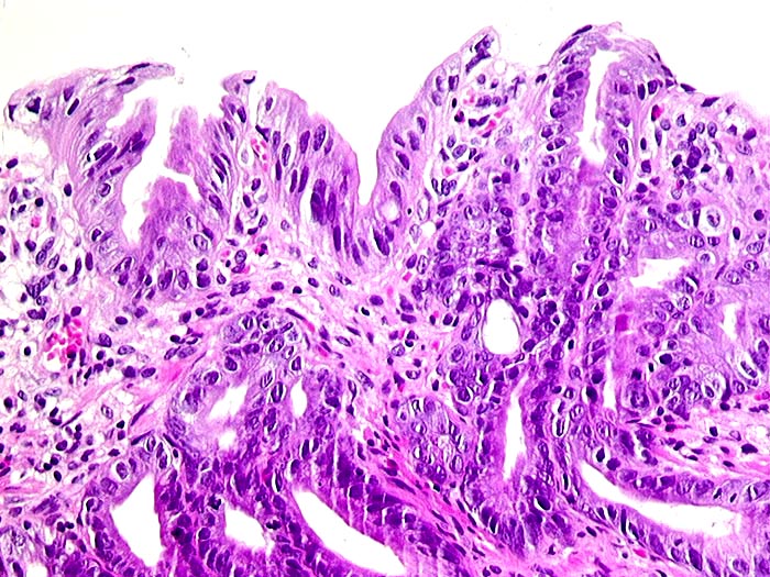
PathoPic – image database / PathoPic ID 3 - Barrettmucosa: low grade intraepitheliale Neoplasie

de
Diagnose
Barrettmucosa: low grade intraepitheliale Neoplasie
Diagnose Gruppe
Präneoplasie/ Atypie/ Dignität?
Topographie
Oesophagus, distal
Topographie Gruppe
Oesophagus, Magen
Beschreibung
Barrettmucosa mit schwerer Dysplasie des Oberflächenepithels mit vergrösserten, hyperchromatischen Kernen. Crowding der Drüsenschläuche mit Verminderung des dazwischenliegenden Stromas. Geringe Entzündung.
Klinik
Barrettösophagus
Bilder Typ
Histologie
Alter
77
Geschlecht
unbekannt
Datum
Ersteintrag: 10.07.2002