Wichtiger Sicherheitshinweis:
Pathorama wurde zwischen dem
26. und 27. Dezember 2025
angegriffen. Falls Sie die Website in diesem Zeitraum besucht haben, lesen Sie bitte die wichtigen Informationen hier:
Zur Information
Pathopic
HiPaKu
ZyPaKu
Projektinfos
PathoPic - Projekt- und Copyright-Info
About
Pathopic
HiPaKu
ZyPaKu
PathoPic – image database
/
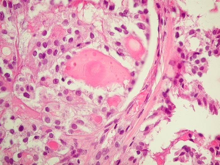
PathoPic ID 2786 - Metastase follikuläres Schilddrüsenkarzinom
de
Diagnose
Metastase follikuläres Schilddrüsenkarzinom
Diagnose Gruppe
maligner Tumor
Topographie
Knochen, Becken
Topographie Gruppe
Knochen, Knorpel, Gelenke
Beschreibung
Die Metastase zeigt eine Morphologie vergleichbar mit normalem Schilddrüsenparenchym.
Zusatzbefund
Die Tumorzellen reagieren positiv mit Thyreoglobulin sowie mit dem nukleären Transkriptionsfaktor TTF-1
Klinik
Kein bekanntes Schilddrüsenkarzinom. Vor 30 Jahren Adenokarzinom des Kolons.
Bilder Typ
Histologie
Alter
82
Geschlecht
unbekannt
Datum
Ersteintrag: 18.03.2002
CPS
·
©
2025 Institut für Pathologie Basel
/
Dr. med. Katharina Glatz-Krieger
.
·
v2.2