Wichtiger Sicherheitshinweis:
Pathorama wurde zwischen dem
26. und 27. Dezember 2025
angegriffen. Falls Sie die Website in diesem Zeitraum besucht haben, lesen Sie bitte die wichtigen Informationen hier:
Zur Information
Pathopic
HiPaKu
ZyPaKu
Projektinfos
PathoPic - Projekt- und Copyright-Info
About
Pathopic
HiPaKu
ZyPaKu
PathoPic – image database
/
PathoPic ID 269 - Chronische Pneumocystis jirovecii Pneumonie
de
Diagnose
Chronische Pneumocystis jirovecii Pneumonie
Diagnose Gruppe
Entzündung infektiös
Topographie
Lunge
Topographie Gruppe
Lunge, Mediastinum mit Thymus
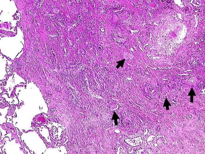
Beschreibung
Narbengewebe mit
►
schaumigen Einschlüssen.
Zusatzbefund
In den schaumigen Einschlüssen finden sich bei stärkerer Vergrösserung in der Grocottfärbung zahlreiche Erreger.
Klinik
AIDS. HIV Positivität bekannt seit 2 Jahren bei iv Drogenabusus.
Bilder Typ
Histologie
Alter
38
Geschlecht
unbekannt
Datum
Ersteintrag: 06.11.2001
Update: 30.07.2010
CPS
·
©
2025 Institut für Pathologie Basel
/
Dr. med. Katharina Glatz-Krieger
.
·
v2.2