Wichtiger Sicherheitshinweis:
Pathorama wurde zwischen dem
26. und 27. Dezember 2025
angegriffen. Falls Sie die Website in diesem Zeitraum besucht haben, lesen Sie bitte die wichtigen Informationen hier:
Zur Information
Pathopic
HiPaKu
ZyPaKu
Projektinfos
PathoPic - Projekt- und Copyright-Info
About
Pathopic
HiPaKu
ZyPaKu
PathoPic – image database
/
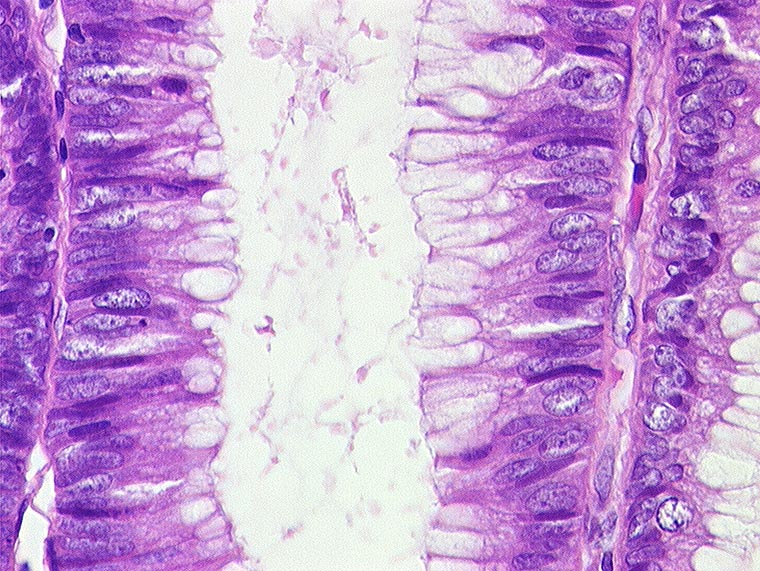
PathoPic ID 25 - Kolonschleimhautadenom, leichte Dysplasie.
de
Grad
Diagnose
Kolonschleimhautadenom, leichte Dysplasie.
Diagnose Gruppe
Präneoplasie/ Atypie/ Dignität?
Topographie
Kolon Sigma
Topographie Gruppe
Darm, Anus
Beschreibung
Längliche, teils leicht vergrösserte, hyperchromatische Kerne. Wenig reduzierte Schleimbildung.
Bilder Typ
Histologie
Alter
77
Geschlecht
unbekannt
Datum
Ersteintrag: 23.10.2001
CPS
·
©
2025 Institut für Pathologie Basel
/
Dr. med. Katharina Glatz-Krieger
.
·
v2.2