Wichtiger Sicherheitshinweis:
Pathorama wurde zwischen dem
26. und 27. Dezember 2025
angegriffen. Falls Sie die Website in diesem Zeitraum besucht haben, lesen Sie bitte die wichtigen Informationen hier:
Zur Information
Pathopic
HiPaKu
ZyPaKu
Projektinfos
PathoPic - Projekt- und Copyright-Info
About
Pathopic
HiPaKu
ZyPaKu
PathoPic – image database
/
PathoPic ID 237 - Riesenzellarteriitis der Arteria carotis interna
de
Diagnose
Riesenzellarteriitis der Arteria carotis interna
Diagnose Gruppe
Entzündung / Reparatur
Topographie
Arteria carotis
Topographie Gruppe
Kardiovaskuläres System
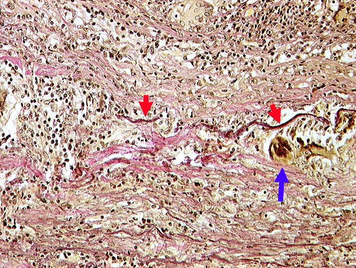
Beschreibung
Dichtes lymphohistiozytäres Entzündungsinfiltrat in der Gefässwand.
►
Riesenzellen phagozytieren die bereits fragmentierte
►
Lamina elastica externa.
Klinik
Bronchuskarzinom.
Kommentar
Primäre Vaskulitis mit Befall grosser Gefässe, bevorzugt extrakranielle Äste der Arteria carotis. Temporalarterie häufig betroffen.
Bilder Typ
Histologie
Alter
77
Geschlecht
männlich
Datum
Ersteintrag: 06.11.2001
CPS
·
©
2025 Institut für Pathologie Basel
/
Dr. med. Katharina Glatz-Krieger
.
·
v2.2