Wichtiger Sicherheitshinweis:
Pathorama wurde zwischen dem
26. und 27. Dezember 2025
angegriffen. Falls Sie die Website in diesem Zeitraum besucht haben, lesen Sie bitte die wichtigen Informationen hier:
Zur Information
Pathopic
HiPaKu
ZyPaKu
Projektinfos
PathoPic - Projekt- und Copyright-Info
About
Pathopic
HiPaKu
ZyPaKu
PathoPic – image database
/
PathoPic ID 2358 - Tertiärer Hyperparathyreoidismus: Epithelkörperchenhyperplasie
de
Diagnose
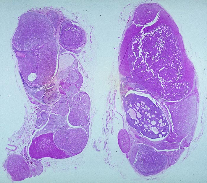
Tertiärer Hyperparathyreoidismus: Epithelkörperchenhyperplasie
Diagnose Gruppe
Hyperplasie / Hypertrophie
Topographie
Nebenschilddrüse
Topographie Gruppe
Endokrinium
Beschreibung
Vergrössertes aus mehreren hyperplastischen Knoten bestehendes Epithelkörperchen.
Zusatzbefund
Analgetikanephropathie mit bilateralen Schrumpfnieren. Anderes Epithelkörperchen mit Adenom.
Bilder Typ
Histologie
Geschlecht
weiblich
Datum
Ersteintrag: 06.03.2002
CPS
·
©
2025 Institut für Pathologie Basel
/
Dr. med. Katharina Glatz-Krieger
.
·
v2.2