Wichtiger Sicherheitshinweis:
Pathorama wurde zwischen dem
26. und 27. Dezember 2025
angegriffen. Falls Sie die Website in diesem Zeitraum besucht haben, lesen Sie bitte die wichtigen Informationen hier:
Zur Information
Pathopic
HiPaKu
ZyPaKu
Projektinfos
PathoPic - Projekt- und Copyright-Info
About
Pathopic
HiPaKu
ZyPaKu
PathoPic – image database
/
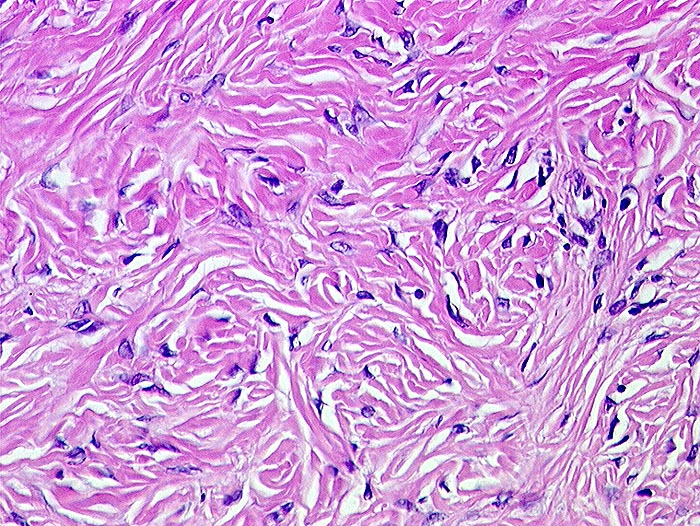
PathoPic ID 219 - kutanes fibröses Histiozytom
de
Diagnose
kutanes fibröses Histiozytom
Diagnose Gruppe
benigner Tumor
Topographie
Haut, obere Extremität
Topographie Gruppe
Haut
Beschreibung
Dichtes kollagenes Bindegewebe mit eingestreuten spindeligen Tumorzellen.
Bilder Typ
Histologie
Alter
24
Geschlecht
unbekannt
Datum
Ersteintrag: 05.11.2001
CPS
·
©
2025 Institut für Pathologie Basel
/
Dr. med. Katharina Glatz-Krieger
.
·
v2.2