Wichtiger Sicherheitshinweis: Pathorama wurde zwischen dem 26. und 27. Dezember 2025 angegriffen. Falls Sie die Website in diesem Zeitraum besucht haben, lesen Sie bitte die wichtigen Informationen hier:
Zur Information

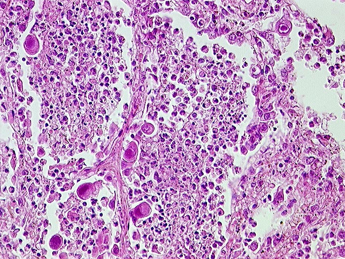
PathoPic – image database / PathoPic ID 218 - CMV (Zytomegalie) Pneumonie und Bronchopneumonie

de
Diagnose
CMV (Zytomegalie) Pneumonie und Bronchopneumonie
Diagnose Gruppe
Entzündung infektiös
Topographie
Lunge
Topographie Gruppe
Lunge, Mediastinum mit Thymus
Beschreibung
Virale Kerneinschlüsse mit Halo in Pneumozyten (sogenannte Eulenaugenzellen). Intraalveoläre Granulozyten bei zusätzlicher bakterieller Pneumonie.
Klinik
HIV positiv seit 5 Jahren. Nachweis von zytomegalen Zellen im Hirn, in der Lunge, im Gastrointestinaltrakt, den Nieren und der Nebenniere. Zusätzlich bakterielle Pneumonie.
Bilder Typ
Histologie
Alter
59
Geschlecht
männlich
Datum
Ersteintrag: 05.11.2001