Wichtiger Sicherheitshinweis: Pathorama wurde zwischen dem 26. und 27. Dezember 2025 angegriffen. Falls Sie die Website in diesem Zeitraum besucht haben, lesen Sie bitte die wichtigen Informationen hier:
Zur Information

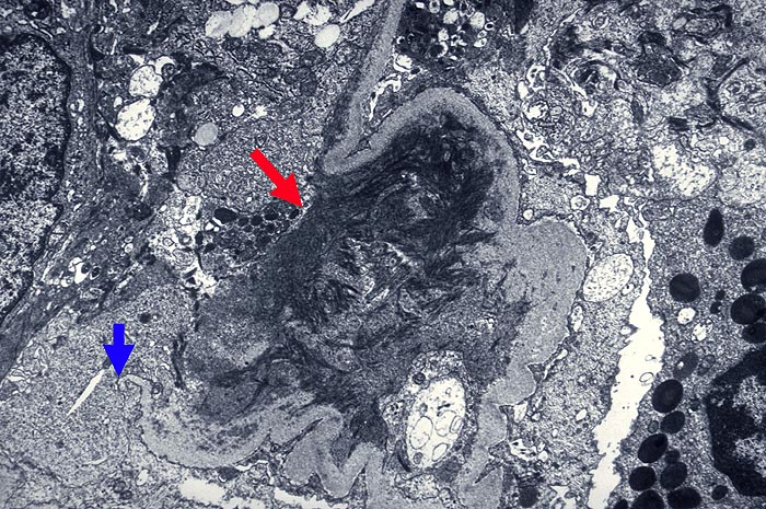
PathoPic – image database / PathoPic ID 1964 - Extrakapillär betonte Glomerulonephritis: Schlingenruptur

de
Diagnose
Extrakapillär betonte Glomerulonephritis: Schlingenruptur
Diagnose Gruppe
Entzündung / Reparatur
Topographie
Niere
Topographie Gruppe
Niere, Harnwege
Beschreibung
Die periphere glomeruläre Basalmembran ist an einer Stelle unterbrochen. Im Schlingenlumen Fibrinstränge.
Kommentar
Glomeruli mit Halbmond zeigen immer Schlingenrupturen (wenn man in Serienschnitten danach sucht!) im Frühstadium mit Fibrinexsudation in den Kapselraum.
Bilder Typ
EM
Alter
56
Geschlecht
männlich
Datum
Ersteintrag: 24.01.2002