Wichtiger Sicherheitshinweis: Pathorama wurde zwischen dem 26. und 27. Dezember 2025 angegriffen. Falls Sie die Website in diesem Zeitraum besucht haben, lesen Sie bitte die wichtigen Informationen hier:
Zur Information

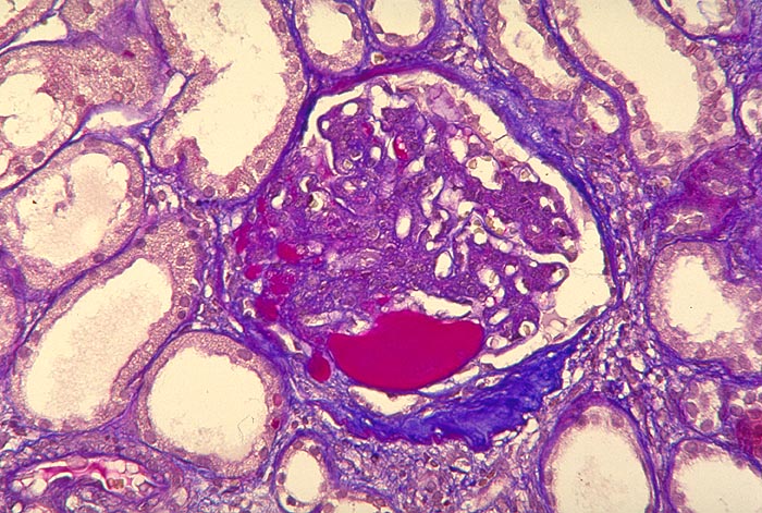
PathoPic – image database / PathoPic ID 1919 - Diabetische Glomerulosklerose: Exsudative Läsion

de
Diagnose
Diabetische Glomerulosklerose: Exsudative Läsion
Diagnose Gruppe
Systemerkrankung/Immunpathologie
Topographie
Niere
Topographie Gruppe
Niere, Harnwege
Beschreibung
Diffuse Glomerulosklerose mit segmentaler Sklerose (Exsudative Läsion): fingerförmige Verbreiterung des Mesangiums mit Matrixvermehrung ohne begleitende Zellvermehrung. Einzelne periphere Schlingen werden durch teilweise riesige Proteinthromben vollständig ausgefüllt. In diesen Bereichen Synechie mit der Bowman' Kapsel. Die übrigen Schlingen mit teilweise weit offenen Lumina.
Klinik
Diabetes mellitus.
Kommentar
Exsudative Läsion: subendotheliale Proteinablagerungen teilweise mit vollständigem Verschluss der Glomerulusschlingen, früher als fibrinoide Schlingenkappen bezeichnet (entspricht bei anderen Nephropathien der sekundären segmental fokalen Glomerulosklerose bei Überlastungsglomerulopathie). Korreliert mit Schweregrad der Ateriolosklerose. Gleichzeitig knotige Proteinablagerungen in der Bowman'schen Kapselbasalmembran (Kapseltropfen). Glomeruläre exsudative Läsionen gehen meist mit Synechien einher und führen zur globalen Glomerulosklerose.
Bilder Typ
Histologie
Geschlecht
weiblich
Datum
Ersteintrag: 11.01.2002