Wichtiger Sicherheitshinweis:
Pathorama wurde zwischen dem
26. und 27. Dezember 2025
angegriffen. Falls Sie die Website in diesem Zeitraum besucht haben, lesen Sie bitte die wichtigen Informationen hier:
Zur Information
Pathopic
HiPaKu
ZyPaKu
Projektinfos
PathoPic - Projekt- und Copyright-Info
About
Pathopic
HiPaKu
ZyPaKu
PathoPic – image database
/
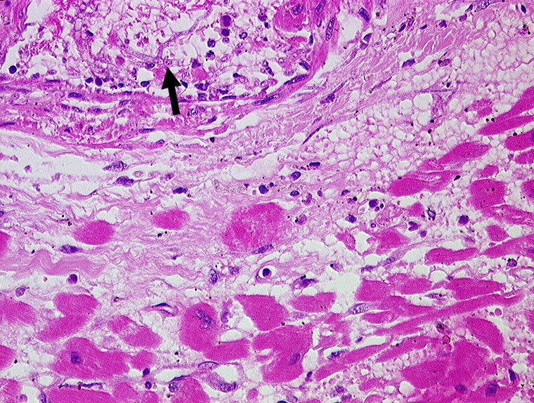
PathoPic ID 191 - Aspergillussepsis mit Myokardbefall
de
Diagnose
Aspergillussepsis mit Myokardbefall
Diagnose Gruppe
Entzündung infektiös
Topographie
Herz links
Topographie Gruppe
Kardiovaskuläres System
Beschreibung
►
Aspergillushyphen in einem intramyokardialen Gefäss.
Klinik
Aspergillussepsis. Chronische lymphatische Leukämie. Metastasierendes Spinaliom.
Bilder Typ
Histologie
Alter
61
Geschlecht
männlich
Datum
Ersteintrag: 30.10.2001
CPS
·
©
2025 Institut für Pathologie Basel
/
Dr. med. Katharina Glatz-Krieger
.
·
v2.2