Wichtiger Sicherheitshinweis: Pathorama wurde zwischen dem 26. und 27. Dezember 2025 angegriffen. Falls Sie die Website in diesem Zeitraum besucht haben, lesen Sie bitte die wichtigen Informationen hier:
Zur Information

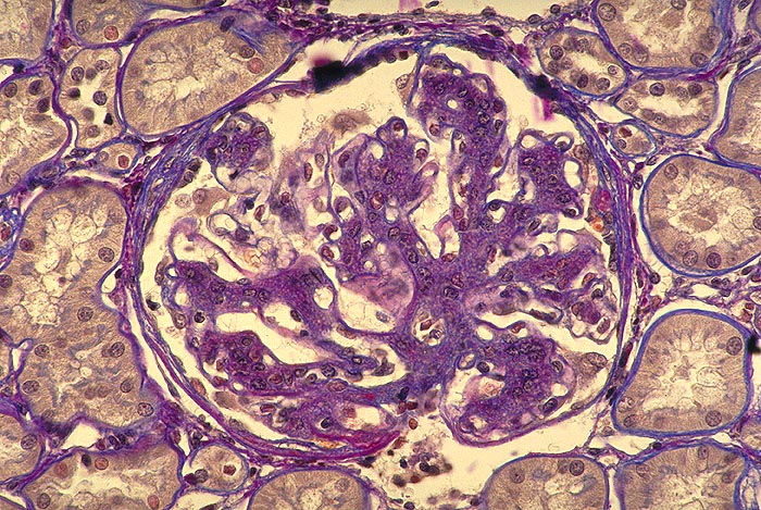
PathoPic – image database / PathoPic ID 1906 - Diffuse Glomerulosklerose bei Diabetes mellitus

de
Diagnose
Diffuse Glomerulosklerose bei Diabetes mellitus
Diagnose Gruppe
Systemerkrankung/Immunpathologie
Topographie
Niere
Topographie Gruppe
Niere, Harnwege
Beschreibung
Fingerförmige Verbreiterung des Mesangiums ohne gleichzeitige Zellvermehrung. Korbartige Geflechtstruktur der mesangialen Matrix. Keine mesangiale Zellvermehrung. Die peripheren Basalmembranen erscheinen verdickt.
Klinik
Diabetes mellitus seit 7 Jahren.
Kommentar
Diffuse Glomerulosklerose: progrediente Verbreiterung der glomerulären Basalmembran und des Mesangiums (ca. 2-5 Jahre nach Diabetesbeginn nachweisbar). Mesangiumverbreiterung bedingt durch Matrixzunahme anfänglich auch von leichter mesangialer Zellvermehrung begleitet. Der Schweregrad der diffusen Glomerulosklerose korreliert am besten mit klinischen Symptomen: Proteinurie, Abnahme der glomerulären Filtrationsrate.
Bilder Typ
Histologie
Geschlecht
weiblich
Datum
Ersteintrag: 11.01.2002