Wichtiger Sicherheitshinweis:
Pathorama wurde zwischen dem
26. und 27. Dezember 2025
angegriffen. Falls Sie die Website in diesem Zeitraum besucht haben, lesen Sie bitte die wichtigen Informationen hier:
Zur Information
Pathopic
HiPaKu
ZyPaKu
Projektinfos
PathoPic - Projekt- und Copyright-Info
About
Pathopic
HiPaKu
ZyPaKu
PathoPic – image database
/
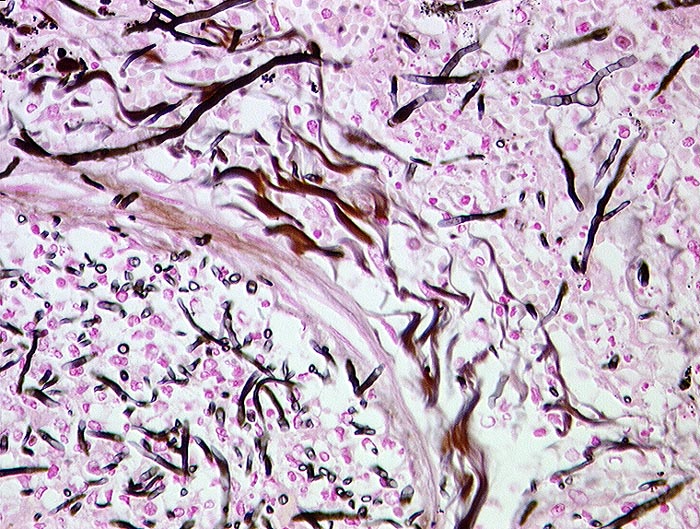
PathoPic ID 189 - invasive Aspergillose
de
Diagnose
invasive Aspergillose
Diagnose Gruppe
Entzündung infektiös
Topographie
Lunge
Topographie Gruppe
Lunge, Mediastinum mit Thymus
Beschreibung
Verzweigte septierte Pilzhyphen infiltrieren die Wand eines Gefässes links im Bild.
Klinik
Aspergillussepsis. Chronische lymphatische Leukämie. Metastasierendes Spinaliom.
Bilder Typ
Histologie
Alter
61
Geschlecht
männlich
Datum
Ersteintrag: 30.10.2001
CPS
·
©
2025 Institut für Pathologie Basel
/
Dr. med. Katharina Glatz-Krieger
.
·
v2.2