Wichtiger Sicherheitshinweis:
Pathorama wurde zwischen dem
26. und 27. Dezember 2025
angegriffen. Falls Sie die Website in diesem Zeitraum besucht haben, lesen Sie bitte die wichtigen Informationen hier:
Zur Information
Pathopic
HiPaKu
ZyPaKu
Projektinfos
PathoPic - Projekt- und Copyright-Info
About
Pathopic
HiPaKu
ZyPaKu
PathoPic – image database
/
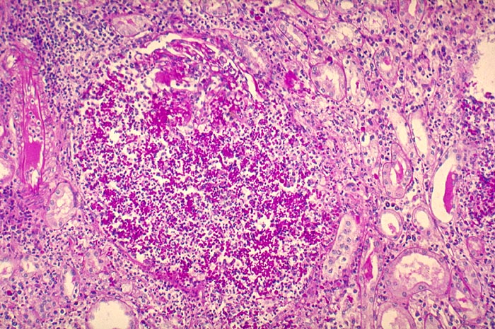
PathoPic ID 1796 - Pyämischer Streuherd bei Soor-Pyämie
de
Diagnose
Pyämischer Streuherd bei Soor-Pyämie
Diagnose Gruppe
Entzündung infektiös
Topographie
Niere
Topographie Gruppe
Niere, Harnwege
Beschreibung
Im Zentrum pyämischer Streuherd im Glomerulus mit weitgehender Zerstörung des Glomerulus. Zwischen den Pilzhyphen dichte entzündliche Infiltration.
Klinik
Transplantatniere.
Bilder Typ
Histologie
Geschlecht
weiblich
Datum
Ersteintrag: 08.01.2002
CPS
·
©
2025 Institut für Pathologie Basel
/
Dr. med. Katharina Glatz-Krieger
.
·
v2.2