Wichtiger Sicherheitshinweis: Pathorama wurde zwischen dem 26. und 27. Dezember 2025 angegriffen. Falls Sie die Website in diesem Zeitraum besucht haben, lesen Sie bitte die wichtigen Informationen hier:
Zur Information

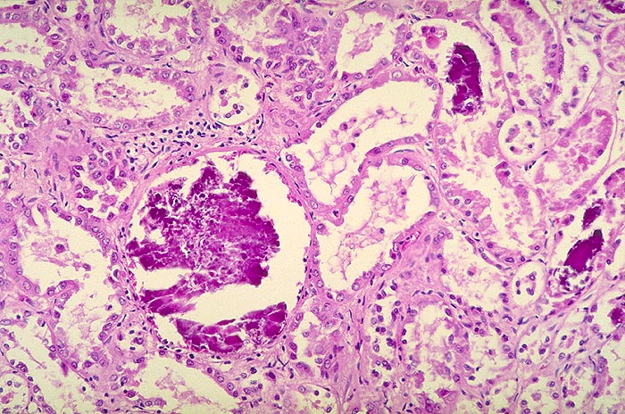
PathoPic – image database / PathoPic ID 1734 - Nephrokalzinose, dystrophe Form

de
Diagnose
Nephrokalzinose, dystrophe Form
Diagnose Gruppe
Systemerkrankung/Immunpathologie
Topographie
Niere
Topographie Gruppe
Niere, Harnwege
Beschreibung
Massive Verkalkungen von teilweise nekrotischen Tubulusepithelien und vollständige Verkalkung eines Glomerulus.
Klinik
Zufallsbefund in einer Transplantatbiopsie wenige Tage nach Transplantation.
Kommentar
Nekrotische Tubuli und Glomeruli mit Verkalkungen. Kalkablagerungen bei Überschuss alkalischer Valenzen z.B. Nekrosen. Nephrokalzinose tritt auch bei normalen Serumkalziumwerten auf, wird aber durch Hyperkalziurie begünstigt.
Bilder Typ
Histologie
Geschlecht
weiblich
Datum
Ersteintrag: 08.01.2002