Wichtiger Sicherheitshinweis: Pathorama wurde zwischen dem 26. und 27. Dezember 2025 angegriffen. Falls Sie die Website in diesem Zeitraum besucht haben, lesen Sie bitte die wichtigen Informationen hier:
Zur Information

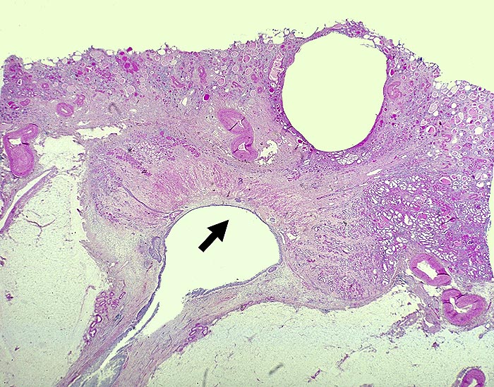
PathoPic – image database / PathoPic ID 1634 - Schrumpfniere bei Analgetikanephropathie, Papillennekrose

de
Diagnose
Schrumpfniere bei Analgetikanephropathie, Papillennekrose
Diagnose Gruppe
Therapiefolgen
Topographie
Niere
Topographie Gruppe
Niere, Harnwege
Beschreibung
Die Nierenrinde ist hochgradig geschrumpft. Die Glomeruli sind weitgehend verödet. Herdförmig besteht ein Pseudostrumabild. Daneben eine einzelne Zyste. Die Papillennekrose ist teilweise abgestossen: Typische Verplumpung des Nierenkelchs. Reste der nekrotischen Papille sind in situ verblieben.
Bilder Typ
Histologie
Geschlecht
weiblich
Datum
Ersteintrag: 31.12.2001