Wichtiger Sicherheitshinweis: Pathorama wurde zwischen dem 26. und 27. Dezember 2025 angegriffen. Falls Sie die Website in diesem Zeitraum besucht haben, lesen Sie bitte die wichtigen Informationen hier:
Zur Information

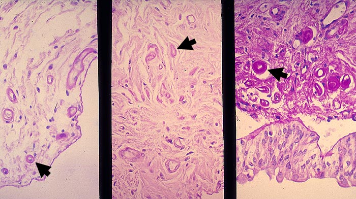
PathoPic – image database / PathoPic ID 1573 - Kapillarosklerose bei Phenacetinabusus: Rückbildung

de
Diagnose
Kapillarosklerose bei Phenacetinabusus: Rückbildung
Diagnose Gruppe
Therapiefolgen
Topographie
Ureter
Topographie Gruppe
Niere, Harnwege
Beschreibung
Rückbildung einer Kapillarosklerose bei Analgetika-Abusus: Bei der Patientin wurde die rechte Niere wegen akuter Pyelonephritis mit Urosepsis vor 10 Jahren entfernt. Im Nierenbecken bestand eine massive Kapillarosklerose (rechts). Im Ureterstumpf (Mitte) fand sich bei der Autopsie nur eine diskrete Kapillarosklerose. Gleichzeitig bestand eine geringe Kapillarosklerose im Transplantatureter (links) als Ausdruck fortgesetzten Analgetika Konsums.
Bilder Typ
Histologie
Geschlecht
unbekannt
Datum
Ersteintrag: 13.12.2001