Wichtiger Sicherheitshinweis:
Pathorama wurde zwischen dem
26. und 27. Dezember 2025
angegriffen. Falls Sie die Website in diesem Zeitraum besucht haben, lesen Sie bitte die wichtigen Informationen hier:
Zur Information
Pathopic
HiPaKu
ZyPaKu
Projektinfos
PathoPic - Projekt- und Copyright-Info
About
Pathopic
HiPaKu
ZyPaKu
PathoPic – image database
/
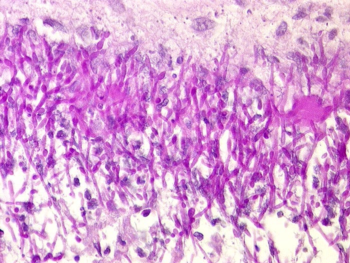
PathoPic ID 1462 - Soorösophagitis
de
Diagnose
Soorösophagitis
Diagnose Gruppe
Entzündung infektiös
Topographie
Oesophagus
Topographie Gruppe
Oesophagus, Magen
Beschreibung
PAS positive Soor Sporen (rund) und Pseudohyphen (Pilzfäden ohne echte Verzweigungen).
Bilder Typ
Histologie
Geschlecht
weiblich
Datum
Ersteintrag: 07.12.2001
CPS
·
©
2025 Institut für Pathologie Basel
/
Dr. med. Katharina Glatz-Krieger
.
·
v2.2