Wichtiger Sicherheitshinweis:
Pathorama wurde zwischen dem
26. und 27. Dezember 2025
angegriffen. Falls Sie die Website in diesem Zeitraum besucht haben, lesen Sie bitte die wichtigen Informationen hier:
Zur Information
Pathopic
HiPaKu
ZyPaKu
Projektinfos
PathoPic - Projekt- und Copyright-Info
About
Pathopic
HiPaKu
ZyPaKu
PathoPic – image database
/
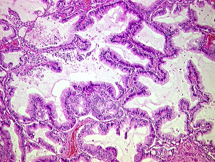
PathoPic ID 137 - muzinöses Bronchioloalveoläres Karzinom
de
Diagnose
muzinöses Bronchioloalveoläres Karzinom
Diagnose Gruppe
maligner Tumor
Topographie
Lunge
Topographie Gruppe
Lunge, Mediastinum mit Thymus
Beschreibung
Hochzylindrische schleimbildende Zellen mit geringen Atypien tapezieren die Alveolarsepten aus. Das Lungengerüst bleibt erhalten.
Zusatzbefund
3cm grosser peripherer Lungentumor. Metastasen Lymphknoten,Hirn, Nebennieren.
Klinik
Tumor bekannt seit 3 Jahren.
Bilder Typ
Histologie
Alter
75
Geschlecht
männlich
Datum
Ersteintrag: 25.10.2001
CPS
·
©
2025 Institut für Pathologie Basel
/
Dr. med. Katharina Glatz-Krieger
.
·
v2.2