Wichtiger Sicherheitshinweis: Pathorama wurde zwischen dem 26. und 27. Dezember 2025 angegriffen. Falls Sie die Website in diesem Zeitraum besucht haben, lesen Sie bitte die wichtigen Informationen hier:
Zur Information

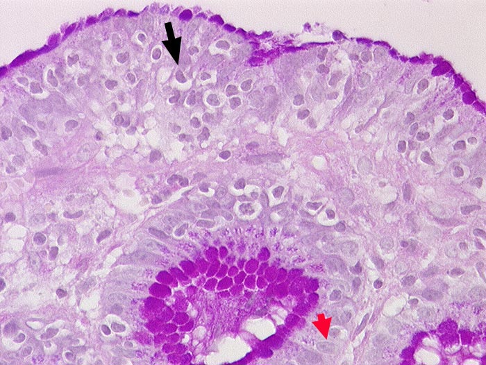
PathoPic – image database / PathoPic ID 1344 - Lymphozytäre Gastritis

de
Diagnose
Lymphozytäre Gastritis
Diagnose Gruppe
Entzündung / Reparatur
Topographie
Magenantrum
Topographie Gruppe
Oesophagus, Magen
Beschreibung
Stroma ohne relevantes Entzündungsinfiltrat. Sehr zahlreiche intraepitheliale Lymphozyten. Im Gegensatz zu den Epithelzellen mit länglichen, hellen Kernen haben die Lymphozyten runde, dunkle Kerne und sind von einem Halo umgeben.
Zusatzbefund
Kein Helicobacter pylori.
Bilder Typ
Histologie
Alter
33
Geschlecht
unbekannt
Datum
Ersteintrag: 05.12.2001