Wichtiger Sicherheitshinweis:
Pathorama wurde zwischen dem
26. und 27. Dezember 2025
angegriffen. Falls Sie die Website in diesem Zeitraum besucht haben, lesen Sie bitte die wichtigen Informationen hier:
Zur Information
Pathopic
HiPaKu
ZyPaKu
Projektinfos
PathoPic - Projekt- und Copyright-Info
About
Pathopic
HiPaKu
ZyPaKu
PathoPic – image database
/
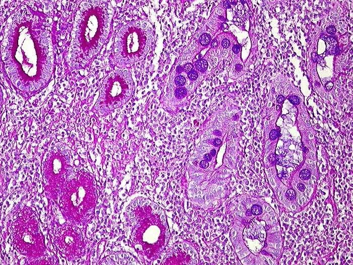
PathoPic ID 1302 - Intestinale Metaplasie
de
Diagnose
Intestinale Metaplasie
Diagnose Gruppe
Metaplasie / Heterotopie
Topographie
Magenantrum
Topographie Gruppe
Oesophagus, Magen
Beschreibung
Links PAS positive Schleimdrüsen des Magenantrums. Rechts metaplastische Drüsen, welche alcianblaue Becherzellen enthalten. Dicht entzündlich infiltriertes Stroma.
Bilder Typ
Histologie
Geschlecht
weiblich
Datum
Ersteintrag: 05.12.2001
CPS
·
©
2025 Institut für Pathologie Basel
/
Dr. med. Katharina Glatz-Krieger
.
·
v2.2