Wichtiger Sicherheitshinweis: Pathorama wurde zwischen dem 26. und 27. Dezember 2025 angegriffen. Falls Sie die Website in diesem Zeitraum besucht haben, lesen Sie bitte die wichtigen Informationen hier:
Zur Information

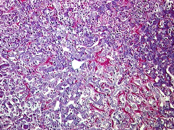
PathoPic – image database / PathoPic ID 1274 - Subakute Stauung

de
Diagnose
Subakute Stauung
Diagnose Gruppe
vaskulär / Durchblutungsstörung
Topographie
Leber
Topographie Gruppe
Leber, Gallenwege, Pankreas
Beschreibung
Znetralvene in der Mitte des Bildes. Die perivenulären Sinusoide sind prall gefüllt mit Blut. Die Leberzellbalken sind leicht verdünnt (druckatroph). Keine Fibrose.
Bilder Typ
Histologie
Geschlecht
weiblich
Datum
Ersteintrag: 05.12.2001