Wichtiger Sicherheitshinweis:
Pathorama wurde zwischen dem
26. und 27. Dezember 2025
angegriffen. Falls Sie die Website in diesem Zeitraum besucht haben, lesen Sie bitte die wichtigen Informationen hier:
Zur Information
Pathopic
HiPaKu
ZyPaKu
Projektinfos
PathoPic - Projekt- und Copyright-Info
About
Pathopic
HiPaKu
ZyPaKu
PathoPic – image database
/
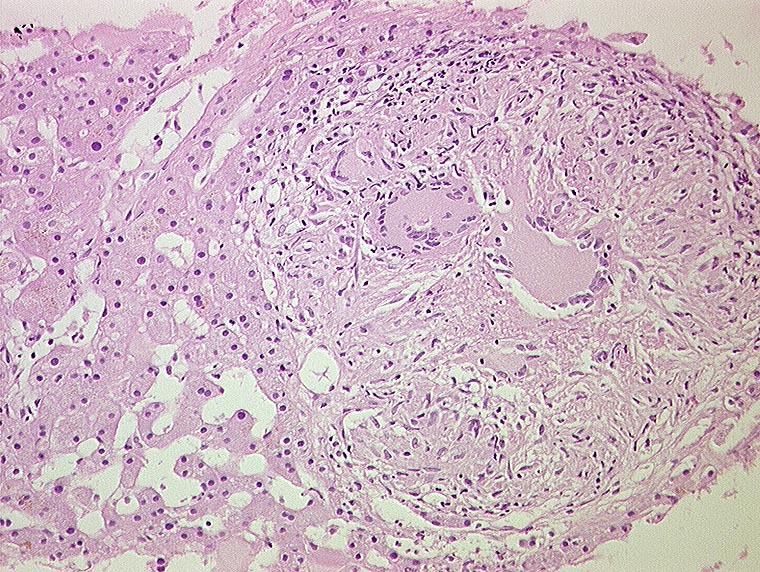
PathoPic ID 1247 - Miliartuberkulose : produktives Granulom
de
Diagnose
Miliartuberkulose : produktives Granulom
Diagnose Gruppe
Entzündung infektiös
Topographie
Leber
Topographie Gruppe
Leber, Gallenwege, Pankreas
Beschreibung
Nicht verkäsendes produktives Granulom aus Epitheloidzellen und Langhans'schen Riesenzellen mit hufeisenförmig angeordneten Kernen.
Bilder Typ
Histologie
Geschlecht
weiblich
Datum
Ersteintrag: 05.12.2001
CPS
·
©
2025 Institut für Pathologie Basel
/
Dr. med. Katharina Glatz-Krieger
.
·
v2.2