Wichtiger Sicherheitshinweis:
Pathorama wurde zwischen dem
26. und 27. Dezember 2025
angegriffen. Falls Sie die Website in diesem Zeitraum besucht haben, lesen Sie bitte die wichtigen Informationen hier:
Zur Information
Pathopic
HiPaKu
ZyPaKu
Projektinfos
PathoPic - Projekt- und Copyright-Info
About
Pathopic
HiPaKu
ZyPaKu
PathoPic – image database
/
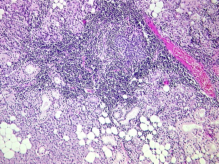
PathoPic ID 119 - Sjögren Syndrom, Parotis
de
Diagnose
Sjögren Syndrom, Parotis
Diagnose Gruppe
Entzündung / Reparatur
Topographie
Parotis
Topographie Gruppe
Kopf & Hals, Sinnesorgane
Klinik
Sjögren Syndrom: St.n. Enukleation des linken Auges wegen spontaner Ruptur. St.n. Hornhautulzera.
Bilder Typ
Histologie
Alter
79
Geschlecht
unbekannt
Datum
Ersteintrag: 25.10.2001
Update: 21.12.2007
CPS
·
©
2025 Institut für Pathologie Basel
/
Dr. med. Katharina Glatz-Krieger
.
·
v2.2