Wichtiger Sicherheitshinweis:
Pathorama wurde zwischen dem
26. und 27. Dezember 2025
angegriffen. Falls Sie die Website in diesem Zeitraum besucht haben, lesen Sie bitte die wichtigen Informationen hier:
Zur Information
Pathopic
HiPaKu
ZyPaKu
Projektinfos
PathoPic - Projekt- und Copyright-Info
About
Pathopic
HiPaKu
ZyPaKu
PathoPic – image database
/
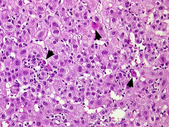
PathoPic ID 1164 - akute Hepatitis C Infektion mit Einzelzellnekrosen
de
Diagnose
akute Hepatitis C Infektion mit Einzelzellnekrosen
Diagnose Gruppe
Entzündung infektiös
Topographie
Leber
Topographie Gruppe
Leber, Gallenwege, Pankreas
Beschreibung
Mononukleäres intralobuläres Entzündungsinfiltrat und zahlreiche hypereosinophile
►
Apoptosekörperchen mit pyknotischen Kernen.
Zusatzbefund
Geringgradige portale Fibrose.
Klinik
Vor einem halben Jahr dokumentierte HCV Negativität. Jetzt HCV Antikörper im Serum positiv.
Bilder Typ
Histologie
Alter
20
Geschlecht
männlich
Datum
Ersteintrag: 30.11.2001
CPS
·
©
2025 Institut für Pathologie Basel
/
Dr. med. Katharina Glatz-Krieger
.
·
v2.2