Wichtiger Sicherheitshinweis: Pathorama wurde zwischen dem 26. und 27. Dezember 2025 angegriffen. Falls Sie die Website in diesem Zeitraum besucht haben, lesen Sie bitte die wichtigen Informationen hier:
Zur Information

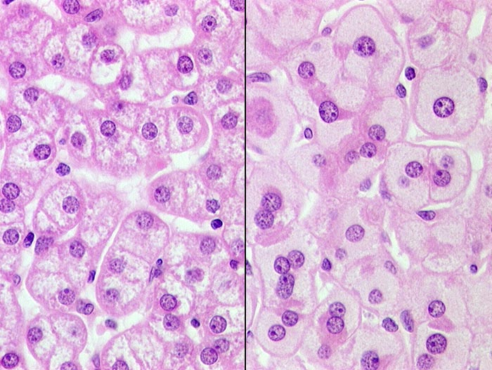
PathoPic – image database / PathoPic ID 1160 - Milchglashepatozyten

de
Diagnose
Milchglashepatozyten
Diagnose Gruppe
Entzündung infektiös
Topographie
Leber
Topographie Gruppe
Leber, Gallenwege, Pankreas
Beschreibung
Rechts ein Areal mit Milchglashepatozyten im Vergleich mit dem übrigen Parenchym (linkes Bild). Die pathologischen Leberzellen sind etwas vergrössert, das Zytoplasma ist blass und milchglasartig.
Zusatzbefund
Die Milchglaszellen enthalten HBs Antigen.
Bilder Typ
Histologie
Geschlecht
weiblich
Datum
Ersteintrag: 30.11.2001