Wichtiger Sicherheitshinweis: Pathorama wurde zwischen dem 26. und 27. Dezember 2025 angegriffen. Falls Sie die Website in diesem Zeitraum besucht haben, lesen Sie bitte die wichtigen Informationen hier:
Zur Information

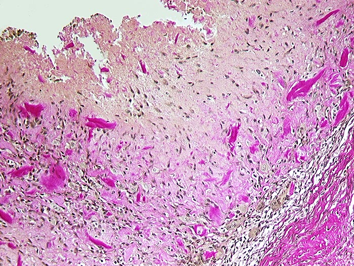
PathoPic – image database / PathoPic ID 1146 - Detritussynovialitis

de
Diagnose
Detritussynovialitis
Diagnose Gruppe
Entzündung / Reparatur
Topographie
Synovialis
Topographie Gruppe
Knochen, Knorpel, Gelenke
Beschreibung
Anstelle des Epithels finden sich avitale Knochensplitter eingebettet in Fibrin. Daran angrenzend Granulationsgewebe mit zahlreichen Fremdkörperriesenzellen.
Klinik
Arthrose des Hüftgelenkes.
Bilder Typ
Histologie
Alter
66
Geschlecht
unbekannt
Datum
Ersteintrag: 18.04.2002
Update: 25.12.2007