Wichtiger Sicherheitshinweis:
Pathorama wurde zwischen dem
26. und 27. Dezember 2025
angegriffen. Falls Sie die Website in diesem Zeitraum besucht haben, lesen Sie bitte die wichtigen Informationen hier:
Zur Information
Pathopic
HiPaKu
ZyPaKu
Projektinfos
PathoPic - Projekt- und Copyright-Info
About
Pathopic
HiPaKu
ZyPaKu
PathoPic – image database
/
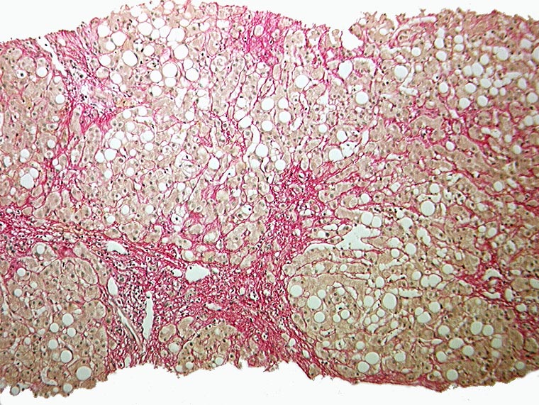
PathoPic ID 1095 - Sklerosierende Steatohepatitis, partieller zirrhotischer Umbau
de
Diagnose
Sklerosierende Steatohepatitis, partieller zirrhotischer Umbau
Diagnose Gruppe
Therapiefolgen
Topographie
Leber
Topographie Gruppe
Leber, Gallenwege, Pankreas
Beschreibung
Grobtropfige Verfettung. Maschendrahtfibrose. Portoportale Septenbildung.
Zusatzbefund
Unvollständiger zirrhotischer Umbau mit portoportaler Septenbildung.
Klinik
Aethylabusus.
Bilder Typ
Histologie
Geschlecht
männlich
Datum
Ersteintrag: 28.11.2001
CPS
·
©
2025 Institut für Pathologie Basel
/
Dr. med. Katharina Glatz-Krieger
.
·
v2.2