Wichtiger Sicherheitshinweis: Pathorama wurde zwischen dem 26. und 27. Dezember 2025 angegriffen. Falls Sie die Website in diesem Zeitraum besucht haben, lesen Sie bitte die wichtigen Informationen hier:
Zur Information

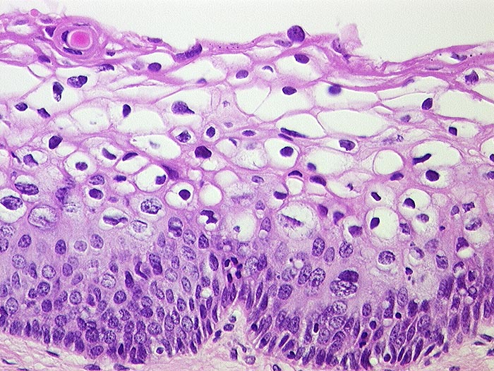
PathoPic – image database / PathoPic ID 1093 - Flache kondylomatöse Läsion und CIN I

de
Diagnose
Flache kondylomatöse Läsion und CIN I
Diagnose Gruppe
Entzündung infektiös
Topographie
Portio
Topographie Gruppe
Genitalorgane, weiblich
Beschreibung
Die Kerne der infizierten Zellen sind pyknotisch und haben eine längliche unregelmässige Form. Die befallenen Kerne liegen in der obersten Epithelschicht und sind von einem perinukleären Halo umgeben. Das Epithel zeigt eine leichte Dysplasie mit vereinzelt deutlich vergrösserten hyperchromatischen Kernen im untersten Epitheldrittel.
Bilder Typ
Histologie
Alter
36
Geschlecht
unbekannt
Datum
Ersteintrag: 28.11.2001
Update: 10.08.2010