Wichtiger Sicherheitshinweis:
Pathorama wurde zwischen dem
26. und 27. Dezember 2025
angegriffen. Falls Sie die Website in diesem Zeitraum besucht haben, lesen Sie bitte die wichtigen Informationen hier:
Zur Information
Pathopic
HiPaKu
ZyPaKu
Projektinfos
PathoPic - Projekt- und Copyright-Info
About
Pathopic
HiPaKu
ZyPaKu
PathoPic – image database
/
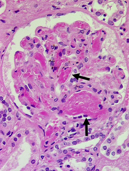
PathoPic ID 109 - Nierenglomeruli mit DIC
de
Diagnose
Nierenglomeruli mit DIC
Diagnose Gruppe
vaskulär / Durchblutungsstörung
Topographie
Niere
Topographie Gruppe
Niere, Harnwege
Beschreibung
Die glomerulären Gefässe sind angefüllt mit azellulären Fibrinthromben.
Klinik
Paraneoplastische DIC bei metastasierendem Mammakarzinom
Bilder Typ
Histologie
Alter
47
Geschlecht
unbekannt
Datum
Ersteintrag: 25.10.2001
CPS
·
©
2025 Institut für Pathologie Basel
/
Dr. med. Katharina Glatz-Krieger
.
·
v2.2