Wichtiger Sicherheitshinweis:
Pathorama wurde zwischen dem
26. und 27. Dezember 2025
angegriffen. Falls Sie die Website in diesem Zeitraum besucht haben, lesen Sie bitte die wichtigen Informationen hier:
Zur Information
Pathopic
HiPaKu
ZyPaKu
Projektinfos
PathoPic - Projekt- und Copyright-Info
About
Pathopic
HiPaKu
ZyPaKu
PathoPic – image database
/
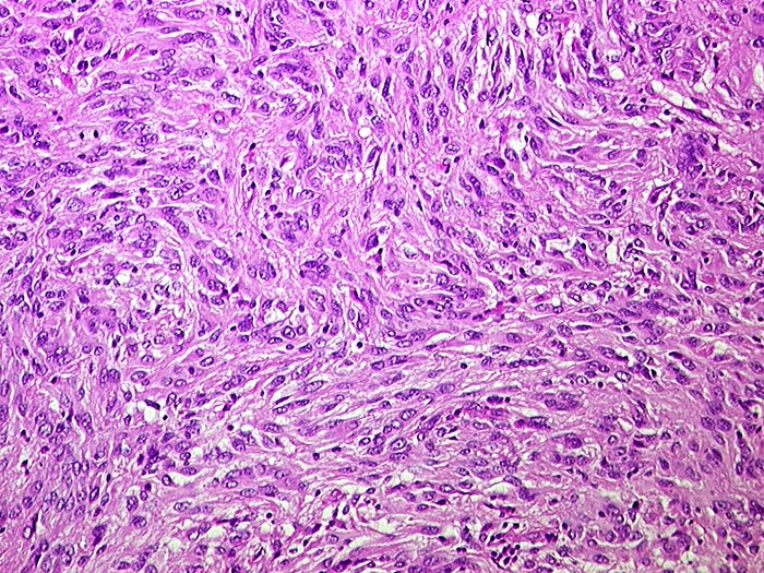
PathoPic ID 1089 - Gastrointestinaler Stromatumor (GIST)
de
Diagnose
Gastrointestinaler Stromatumor (GIST)
Diagnose Gruppe
maligner Tumor
Topographie
Dünndarm
Topographie Gruppe
Darm, Anus
Beschreibung
Zellreicher mesenchymaler Tumor. Die spindeligen Tumorzellen zeigen geringgradige Atypien und bilden kleine Stränge mit unregelmässigem Verlauf.
Zusatzbefund
Metastasen im mesenterialen Fettgewebe und in der Serosa. S-100 negativ, SM-Actin herdförmig positiv, CD 117 (c-kit) positiv.
Bilder Typ
Histologie
Alter
70
Geschlecht
unbekannt
Datum
Ersteintrag: 28.11.2001
CPS
·
©
2025 Institut für Pathologie Basel
/
Dr. med. Katharina Glatz-Krieger
.
·
v2.2