Wichtiger Sicherheitshinweis:
Pathorama wurde zwischen dem
26. und 27. Dezember 2025
angegriffen. Falls Sie die Website in diesem Zeitraum besucht haben, lesen Sie bitte die wichtigen Informationen hier:
Zur Information
Pathopic
HiPaKu
ZyPaKu
Projektinfos
PathoPic - Projekt- und Copyright-Info
About
Pathopic
HiPaKu
ZyPaKu
PathoPic – image database
/
PathoPic ID 1087 - Gastrointestinaler Stromatumor (GIST)
de
Diagnose
Gastrointestinaler Stromatumor (GIST)
Diagnose Gruppe
maligner Tumor
Topographie
Dünndarm
Topographie Gruppe
Darm, Anus
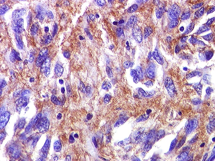
Beschreibung
Spindelzelliger Tumor mit deutlichen Zellatypien. Das Zytoplasma der Tumorzellen reagiert positiv mit CD 117.
Zusatzbefund
Metastasierender GIST. S-100 negativ, SM-Actin herdförmig positiv, CD 117 (c-kit) positiv.
Bilder Typ
Histologie
Immunhistochemie
CD117 (c-Kit)
Alter
70
Geschlecht
unbekannt
Datum
Ersteintrag: 28.11.2001
CPS
·
©
2025 Institut für Pathologie Basel
/
Dr. med. Katharina Glatz-Krieger
.
·
v2.2