Wichtiger Sicherheitshinweis:
Pathorama wurde zwischen dem
26. und 27. Dezember 2025
angegriffen. Falls Sie die Website in diesem Zeitraum besucht haben, lesen Sie bitte die wichtigen Informationen hier:
Zur Information
Pathopic
HiPaKu
ZyPaKu
Projektinfos
PathoPic - Projekt- und Copyright-Info
About
Pathopic
HiPaKu
ZyPaKu
PathoPic – image database
/
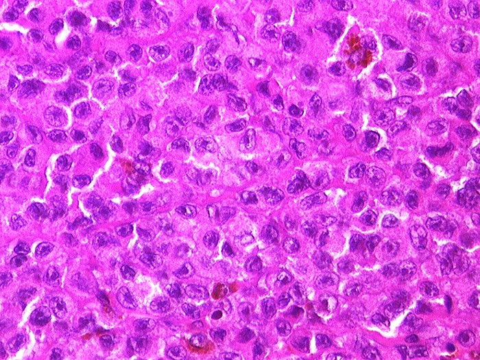
PathoPic ID 1080 - Malignes Melanom
de
Diagnose
Malignes Melanom
Diagnose Gruppe
maligner Tumor
Topographie
Haut, Rumpf
Topographie Gruppe
Haut
Beschreibung
Synzytiale Tumormasse mit einzelnen pigmentierten Zellen. Grosse Kerne mit prominenten eosinophilen Nukleolen. Reichlich eosinophiles Zytoplasma.
Klinik
Metastase eines nodulären malignen Melanoms der Schulterhaut.
Bilder Typ
Histologie
Alter
81
Geschlecht
männlich
Datum
Ersteintrag: 28.11.2001
CPS
·
©
2025 Institut für Pathologie Basel
/
Dr. med. Katharina Glatz-Krieger
.
·
v2.2