Wichtiger Sicherheitshinweis: Pathorama wurde zwischen dem 26. und 27. Dezember 2025 angegriffen. Falls Sie die Website in diesem Zeitraum besucht haben, lesen Sie bitte die wichtigen Informationen hier:
Zur Information

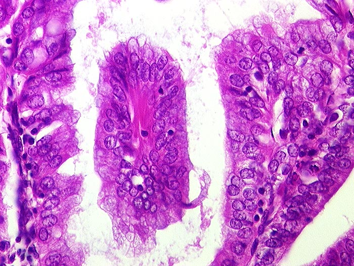
PathoPic – image database / PathoPic ID 1075 - Komplexe Hyperplasie mit Atypie

de
Diagnose
Komplexe Hyperplasie mit Atypie
Diagnose Gruppe
Präneoplasie/ Atypie/ Dignität?
Topographie
Endometrium
Topographie Gruppe
Genitalorgane, weiblich
Beschreibung
Proliferierte Drüsen mit mehrrehigem Epithel mit mässig ausgeprägter Atypie. Die Kerne sind abgerundet und vergrössert mit Verschiebung der Kern-Zytoplasma Relation zugunsten des Kernes. Das Chromatin ist granulär. Die Zellkernpolymorphie ist relativ gering, grosse Nukleolen fehlen.
Kommentar
Die Hyperplasie des Endometriums wird eingeteilt in einfache (zystische) und komplexe Hyperplasie mit oder ohne Atypie, wobei die Atypien vor allem bei komplexen Hyperplasien vorkommen. Vor allem die Atypien sind ein Marker für ein erhöhtes Risiko für die Entwicklung eines Adenokarzinoms.
Bilder Typ
Histologie
Alter
59
Geschlecht
unbekannt
Datum
Ersteintrag: 01.10.2000
Update: 10.08.2010