Wichtiger Sicherheitshinweis: Pathorama wurde zwischen dem 26. und 27. Dezember 2025 angegriffen. Falls Sie die Website in diesem Zeitraum besucht haben, lesen Sie bitte die wichtigen Informationen hier:
Zur Information

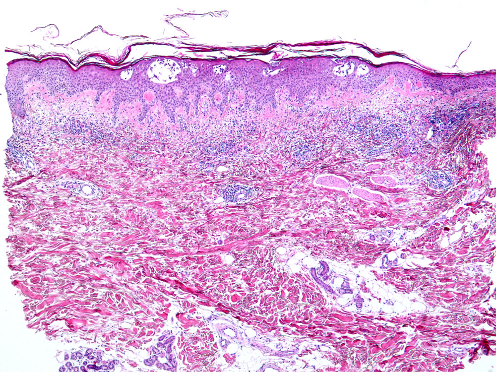
PathoPic – image database / PathoPic ID 10742 - Akute spongiotische Dermatitis vom Ekzemtyp

de
Zeitverlauf
Diagnose
Akute spongiotische Dermatitis vom Ekzemtyp
Diagnose Gruppe
Entzündung / Reparatur
Topographie
Haut, untere Extremität
Topographie Gruppe
Haut
Beschreibung
Geringgradige irreguläre Akanthose der Epidermis. Epidermis und papilläre Dermis erscheinen aufgrund des Ödems relativ hell. Intraepidermale Spongiosebläschen. Schuppenkruste. Oberflächliches perivaskulär betontes Entzündungsinfiltrat.
Klinik
Randbetonte Rötung mit Infiltration am linken Oberschenkel.
Kommentar
Morphologisch sind die allergische Kontaktdermatitis, das nummuläre Ekzem, die dyshidrotische Dermatitis und die Id Reaktion nicht unterscheidbar. Je nach Stadium unterschiedliche Morphologie.
Bilder Typ
Histologie
Vergrösserung
25
Alter
86
Geschlecht
unbekannt
Datum
Ersteintrag: 29.11.2010
Update: 07.02.2011