Wichtiger Sicherheitshinweis:
Pathorama wurde zwischen dem
26. und 27. Dezember 2025
angegriffen. Falls Sie die Website in diesem Zeitraum besucht haben, lesen Sie bitte die wichtigen Informationen hier:
Zur Information
Pathopic
HiPaKu
ZyPaKu
Projektinfos
PathoPic - Projekt- und Copyright-Info
About
Pathopic
HiPaKu
ZyPaKu
PathoPic – image database
/
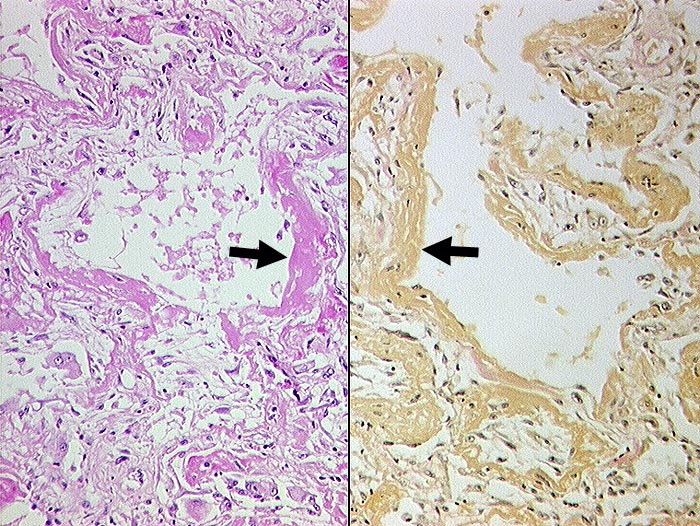
PathoPic ID 107 - Diffuser Alveolarschaden: Hyaline Membranen
de
Diagnose
Diffuser Alveolarschaden: Hyaline Membranen
Diagnose Gruppe
organspezifische Erkrankung
Topographie
Lunge
Topographie Gruppe
Lunge, Mediastinum mit Thymus
Beschreibung
Links im HE hyaline, auf den Alveolarwänden aufsitzende Membranen. Diese bestehen aus Fibrin (gelb in der van Gieson Färbung rechts).
Klinik
Nahtinsuffizienz mit kotiger Peritonitis zwei Wochen nach Kolonresektion wegen Adenokarzinom.
Bilder Typ
Histologie
Alter
65
Geschlecht
männlich
Datum
Ersteintrag: 24.10.2001
Update: 27.04.2009
CPS
·
©
2025 Institut für Pathologie Basel
/
Dr. med. Katharina Glatz-Krieger
.
·
v2.2