Wichtiger Sicherheitshinweis: Pathorama wurde zwischen dem 26. und 27. Dezember 2025 angegriffen. Falls Sie die Website in diesem Zeitraum besucht haben, lesen Sie bitte die wichtigen Informationen hier:
Zur Information

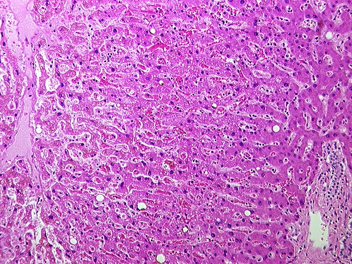
PathoPic – image database / PathoPic ID 1053 - Subakute Stauung

de
Diagnose
Subakute Stauung
Diagnose Gruppe
vaskulär / Durchblutungsstörung
Topographie
Leber
Topographie Gruppe
Leber, Gallenwege, Pankreas
Beschreibung
Links eine Zentralvene, rechts ein Portalfeld. Die Sinusoide sind vor allem um die Zentralvene erweitert und die Leberzellplatten leicht verschmälert (Druckatrophie).
Zusatzbefund
In der Bindegewebsfärbung kein vermehrter Fasernachweis rund um die Zentralvene.
Bilder Typ
Histologie
Alter
67
Geschlecht
unbekannt
Datum
Ersteintrag: 28.11.2001