Wichtiger Sicherheitshinweis: Pathorama wurde zwischen dem 26. und 27. Dezember 2025 angegriffen. Falls Sie die Website in diesem Zeitraum besucht haben, lesen Sie bitte die wichtigen Informationen hier:
Zur Information

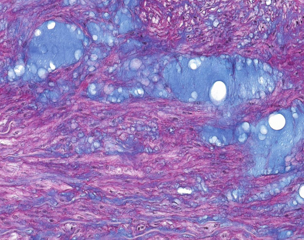
PathoPic – image database / PathoPic ID 10456 - Zystische Mediadegeneration Erdheim Gsell

de
Diagnose
Zystische Mediadegeneration Erdheim Gsell
Diagnose Gruppe
vaskulär / Durchblutungsstörung
Topographie
Aorta ascendens
Topographie Gruppe
Kardiovaskuläres System
Beschreibung
Fragmentierung der elastischen Fasern der Aortenmedia mit Ausbildung von zystenartigen Räumen. Die Elasticalücken sind gefüllt mit Alzianblau-positivem proteoglykanreichem mukoidem Material. Keine Entzündung.
Klinik
Aneurysma Aorta ascendens. Frage nach Marfan? Typ A Dissektion.
Kommentar
Die zystische Mediadegeneration ist ein unspezifisches morphologisches Muster, das unter anderem mit einem Marfan-Syndrom assoziiert sein kann. Multifaktoriell ausgelöstes Reaktionsmuster der Arterien vom elastischen Typ mit Verlust des kollagen-elastischen Fasergerüstes und Einlagerung von Mukopolysacchariden. Ätiologie: Gefässfehlbildungen wie Aortenisthmusstenose oder Aortenklappenstenose. Bindegewebserkrankungen wie Marfan Syndrom, Ehlers Danlos Syndrom, Osteogenesis imperfecta. Hypothyreose oder Hyperkortizismus. Arterielle Hypertonie. Stumpfes Bauchtrauma.
Am J Surg Pathol 2006 30 (9): 1159-67. Surgical Pathology of the Ascending Aorta. Homme JL et al.
Bilder Typ
Histologie
Vergrösserung
200
Alter
37
Geschlecht
männlich
Datum
Ersteintrag: 22.01.2010
Update: 22.02.2011