Wichtiger Sicherheitshinweis: Pathorama wurde zwischen dem 26. und 27. Dezember 2025 angegriffen. Falls Sie die Website in diesem Zeitraum besucht haben, lesen Sie bitte die wichtigen Informationen hier:
Zur Information

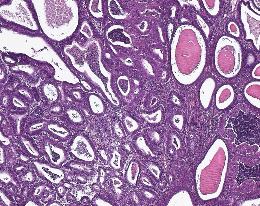
PathoPic – image database / PathoPic ID 10369 - Endometriale intraepitheliale neoplasie (EIN)

de
Diagnose
Endometriale intraepitheliale neoplasie (EIN)
Diagnose Gruppe
maligner Tumor
Topographie
Endometrium
Topographie Gruppe
Genitalorgane, weiblich
Beschreibung
Endometriale intraepitheliale Neoplasie: Umschriebener Herd sehr dicht beeinanderliegender Endometriumdrüsen ausgekleidet von atypischem Epithel, welches sich zytologisch deutlich vom Epithel der nicht neoplastisch transformierten Drüsen unterscheidet. Im Gegensatz zum endometrioiden Adenokarzinom ist zwischen den Drüsen der EIN noch wenig Stroma erkennbar.
Klinik
Endometriale Hyperplasie, Verdacht auf Neoplasie im Uteruskorpus. Postmenopausen-Blutung.
Kommentar
Quiz zur endometrialen intraepithelialen Neoplasie: http://kathrin.unibas.ch/quiz/ein/index.html
Bilder Typ
Histologie
Vergrösserung
100
Alter
73
Geschlecht
unbekannt
Datum
Ersteintrag: 12.01.2010
Update: 24.10.2011